ESTAS EN LA CLINICA DE PATOLOGIAS DEL PIE Y TOBILLO DEL CIBAO

Dr. Cesar V Fernandez Roman
Especialista enfermedades de los pies

CASOS DE PIE Y TOBILLO
Manejamos tratamos y curamos la más amplia gama de enfermedades que afectan a los miembros inferiores, los pies y sus tobillos. Mala alineación de miembros inferiores, problemas de crecimiento, mala consolidación de fracturas, fracturas expuestas, manejo de infecciones oseas, pérdidas oseas en los miembros inferiores, juenetes en los pies, junetillos en dedos menores, deformidades en dedos menores, deformidades por artritis reumatoidea en pies, lesiones traumáticas de pies y tobillos en general, pie diabético, malformaciones al nacimiento en los pies, lesiones de la uñas en los pies, espolón calcáneo, lesiones de tendones que afecten la marcha, pie plano en niños, adolescentes y pies planos adquiridos en la adultez, entre otras muchas más alteraciones que con una detección temprana y un adecuado manejo se evitan mayores complicaciones.




Enfermedad de Charcot
y pie diabético.
Fracturas de pie y Tobillo
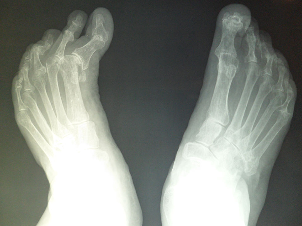
Deformidades de los pies
Deformidades de los dedos







PIE CAVO
Incremento en la altura del arco plantar longitudinal por encima de lo normal.
Existen varios grados del pie cavo observados en podoscopia en refencia a la huella, estos grados aumentan desde el 1 al 4. El pie cavo que se trata siempre es el pie cavo doloroso. las causas de pie cavo pueden ser varias, desde la herencia hasta lesiones relacionadas a los nervios en enfermedades como es e Charcot Marie Tooth donde se observa pie cavo y dedos en garra.
FRACTURA DEL CUERPO DEL TALO
TALO (TALUS), Hueso que transfiere la fuerza de carga desde el cuerpo superior al medio y antepie.
De gran importancia saber que cuando cameos de altura, nos torcemos el tobillo o tenemos un accidente donde nos golpeamos la zona del pie referente a este hueso y ocurre su fractura, una lesion considerada grave y de mucho cuidado; ya que este hueso tiene muy mala vascularidad por lo peculiar y explicitos de los vasos que lo alimentan. Siendo la falta de consolidacion o la necrosis osea una complicacion frecuente hasta en un 50% de los casos, algo verdaderamente alarmante.
LESIONES EXPUESTAS EN EL PIE
Heridas con exposicion osea donde la contaminacion inicial incurre en un posible infeccion y daño permanente del hueso.
Es muy importante que tomemos en cuenta que cuando hay una fractura expuesta presente, el tipo de personal y su capacidad para el manejo de estas lesiones asi tanto como el tiempo de atencion, determinan si la evolucion posterior sera favorable o no para el paciente. Un manejo inadecuado, desviado a los estandares prestablecidos en pie y tobillo en lesiones expuestas podria incluso terminar con la amputacion del miembro en el peor de los casos.
EL PIE PLANO
El pie plano es la causa principal de consulta en niños al ortopedista de pies.
Es muy importante evaluar un pie plano cuando este es doloroso, y que los padres tanto en el inicio del niño en el caminar tanto como en su posterior desarrollo esten atentos a la forma de los pies de sus hijos, y cualquier signo de molestia en la marcha o la carrera en sus hijos (as). Visitar a su pediatra es la primera linea de deteccion de algun problema, ya este decidira si es pertinente la visita para una evaluacion por un especialista ortopeda de pies y tobillos.
DEDOS EN GARRA EN EL PIE
Dedos en garra que se presentan en dedos menores.
Las deformidades de los dedos menores se presentan en la mayoria de los casos en pacientes que son activos, se producen en el antepie una sobrecarga en las articulaciones presentando sinovitis en articulacion metatarsofalangica. Cuando el grado de deformidad se hace tan evidente que se producen callosidades en el dorso del pie por hiprepresion del calzado, es momento de pensar en buscar ayuda. Se realiza correcciones sin afectar las partes oseas para dejar rectos los dedos menores y que se eliminen esos puntos de presion que nodeberian existir en el antepie.
TENDINOSIS O ENFERMEDAD DEL TENDON Y RUPTURA
DEL TENDON DE AQUILES
Ruptura del tendon de aquiles por lesiones tendinoticas cronicas agudizadas por traumas o por traumas severos.
Las rupturas del tendon de Aquiles, el tendon de mayor fuerza en el cuerpo humano, repercuten en la marcha imposibilitando el impulso en su ultima fase, se presenta cuando pre existe una degeneracion tendinosa, haciendo las fibras del tendon desordenadas y debiles e incapaces de realizar una contraccion efectiva y de resistir tracciones de alta energia, siendo esto causa de rupturas. Por otra parte en pacientes aparentemente sanos expuestos a un estres de estiramiento de alta energia podria producir una ruptura por desgarro del tendon, y en pacientes con heridas cortantes en zonas posteriores de la pierna podrian afectar el tendon .